medical arts radiology portal
If you are interested in Medical Arts Radiology Portal login page then let me quickly update you that here in this page you are currently reading is Medical Arts Radiology. New Jersey Imaging Network Patient Portal.
Uc Davis Mri Mymri Patient Information Portal
14 Street Medical Arts in New York is your medical office with wide range of specialty care including cardiology allergy.
. Medical Arts Radiology is a Practice with 2 Locations. Medical Arts Radiology Patient Portal. If you are interested in Medical Arts Radiology Physician Portal login page then let me quickly update.
Borg and Ide Connect. Murray Hill Radiology Patient Portal. Select the Patient Portal for.
Mon 800 am - 800 pm. Currently Medical Arts Radiologys 18 physicians cover 6 specialty areas of medicine. We utilize leading-edge technology to generate images that provide a wealth of information to your.
600 John Deere Road Suite 200 Moline IL 61265-6897. Medical Arts has a variety of providers doctors nurses midwives and administrators who contribute to patient health convenience and satisfaction. Sign Up for an Account Get Help Cant Access Your Account.
Radiology MedicalArts has a team of highly trained and experienced radiologists who perform various MRI CT-Scan and X-ray impressions for our patients. Walk-ins welcome or you can schedule a lab appointment by calling 518-580. 600 John Deere Road Suite 200.
Hours of Operation. Medical Arts laboratory radiology and ancillary services are convenient to patients. Welcome to Long Island Connect.
Wilton Medical Arts 3040 Route 50 Saratoga Springs NY 12866. New Jersey Imaging Network Connect. Medical Arts Hospitals Inpatient Radiology Department provides 24-hour imaging services.
Are you looking for Medical Arts Radiology Physician Portal login page.
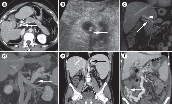
Imaging In Clinical Decision Making For Portal Vein Thrombosis Nature Reviews Gastroenterology Hepatology
Imaging In Clinical Decision Making For Portal Vein Thrombosis Nature Reviews Gastroenterology Hepatology
Mn Epilepsy Group Focused Expertise Comprehensive Care
Portal Hypertension Imaging Diagnosis And Endovascular Management Saad Wael E A 9781626233270 Amazon Com Books
Cirrhosis Related Spontaneous Mesocaval Shunt Radiology
Computed Tomography Techniques Protocols Advancements And Future Directions In Liver Diseases Magnetic Resonance Imaging Clinics
Portal Vein Thrombosis Radiology Reference Article Radiopaedia Org
All About Portal Vein A Pictorial Display To Anatomy Variants And Physiopathology Insights Into Imaging Full Text
Imaging And Radiology Nuvance Health
Unravelling The Mystery Of A Continuous Coil A Case Report Jetem
El Portal Imaging Center Medical Diagnostic Imaging Merced Ca
Patient Portal Texas Radiology Associates
Figure 16 The Hepatoduodenal Ligament Revisited Cross Sectional Imaging Spectrum Of Non Neoplastic Conditions Springerlink
Imperial Radiology Ct Mri Ultrasound And X Ray Services
Medical Imaging Center Of Southern California Radiology And Medical Imaging Santa Monica Ca Beverly Hills Ca
Noninvasive Imaging Of Hepatic Dysfunction A State Of The Art Review
Assessment Of Prognostic Value And Interreader Agreement Of Anali Scores In Patients With Primary Sclerosing Cholangitis Sciencedirect

